
You're likely already infected with a brain-eating virus you've never heard of
🤖AI Özeti
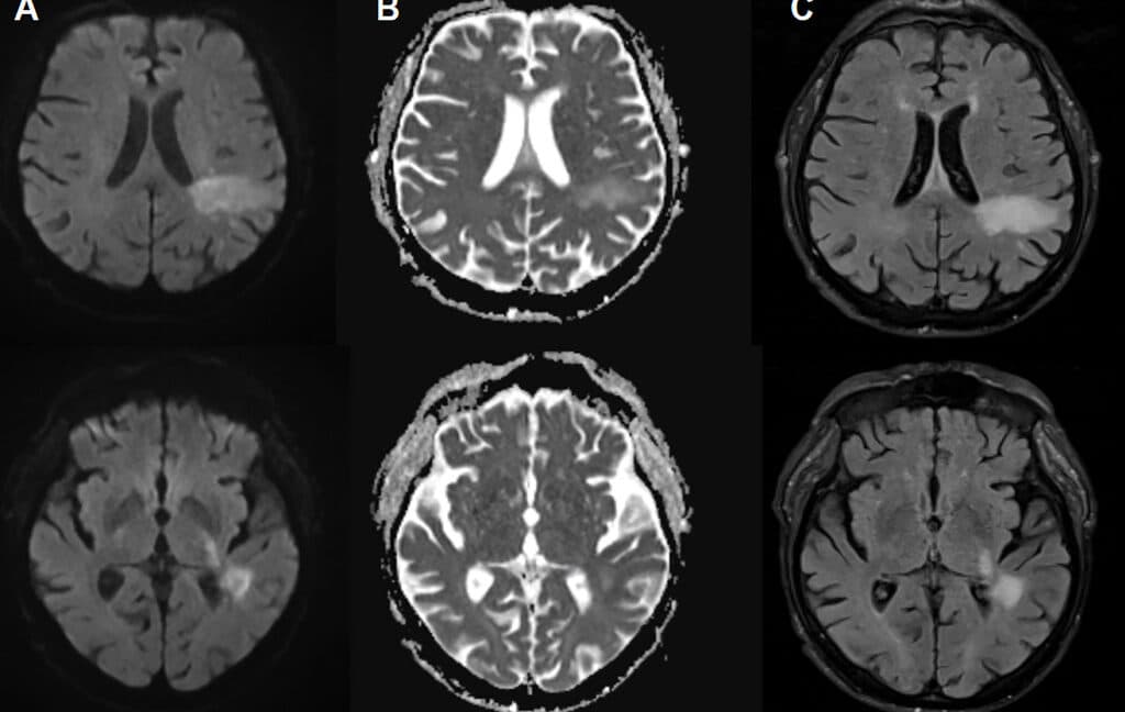
A recent study reveals that a fatal brain infection, previously attributed to severe immune suppression, may actually be caused by a brain-eating virus that many are unknowingly infected with. This discovery challenges existing beliefs about the origins of the infection and raises concerns about its prevalence. The implications of this finding could lead to new approaches in diagnosis and treatment.
💡AI Analizi
📚Bağlam ve Tarihsel Perspektif
Historically, fatal brain infections have been linked to compromised immune systems, but emerging evidence suggests that a previously unidentified virus may be a common factor. This change in perspective could reshape how healthcare providers approach diagnosis and treatment of similar conditions.
This article is for informational purposes only and should not be considered medical advice.
Orijinal Kaynak
Tam teknik rapor ve canlı veriler için yayıncının web sitesini ziyaret edin.
Kaynağı Görüntüleİlgili Haberler
Tümünü GörNewsAI Mobil Uygulamaları
Her yerde okuyun. iOS ve Android için ödüllü uygulamalarımızı indirin.


